Study finds link between ultra-processed foods and cardiometabolic risk in children
Cardiometabolic risk factors include heart attack, stroke and diabetes.
House Calls: How to talk about mental health with kids
On this FOX 35 House Calls segment, AdventHealth Orlando?s Dr. Chloe Barry discusses mental health in children. What are some common misconceptions about children?s mental health that parents should be aware of? How can parents talk to their children about mental health?
House Calls: Pelvic Health issues and treatment
Dr. Lindsay Kissane, a urogynecologist at AdventHealth for Women, joined FOX 35's Good Day Orlando to talk about pelvic health issues, treatment options, and why it is important to talk to your doctor about it.
Maternal Mental Health Awareness Week
FOX 35's Marlisa Goldsmith interviews Dr. Shaenor Ishmael about the importance of prioritizing mental health for mothers and mothers-to-be. Dr. Ishmael discusses the best ways mothers can navigate the challenges of anxiety, depression and other perinatal mental health conditions.
House Calls: GERD symptoms, sign, and treatment options
In this AdventHealth Orlando "House Calls" segment, Dr. Maryam Kashi discussed GERD, the signs and symptoms, and possible treatment options.
Ground beef health alert: Products may be contaminated with E. coli, FSIS warns
Certain ground beef products may be contaminated with E. coli, the FSIS warned. Here’s what to know.
Here's how much sleep the average American is getting each night
A recent poll examines a connection between adequate sleep and overall health, with most Americans saying they would feel better with more rest.
Prescription for free fruits and veggies
Dr. Mike Cirigliano talks about the possibility of a prescription program that provides free fruits and veggies and whether that would help improve health. Research shows that if doctors prescribed fruits and vegetables like they do medication the healthy change in diet would provide better overall health.
House Calls: Common sports injuries & how to treat
AdventHealth's Dr. Luke Oh joined Good Day Orlando to talk about the most common sports injuries and now to treat them.
Report: 1 in 10 school-aged kids has ADHD
The report found that the prevalence of ADHD was higher in boys than girls.
Allergy season starts early. Here's how to stop pollen from affecting your spring
Over 80 million people in the U.S. deal with itchy eyes, runny nose and other symptoms of seasonal allergies.
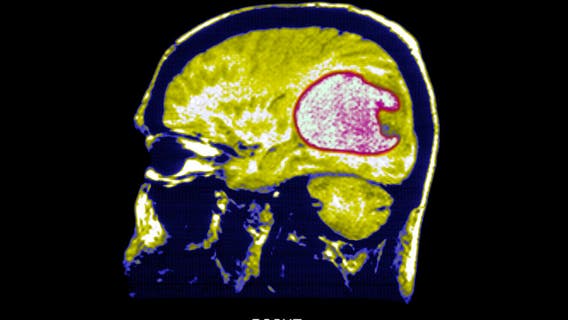
Scientists use new strategy to successfully shrink tumors in early brain cancer trials
Researchers converted immune cells from patients into "living drugs" with the ability to recognize and combat glioblastoma, a form of brain cancer.
House Calls: Colorectal cancer diagnosis, symptoms, treatment
What are the most common symptoms of colon cancer, and when should someone seek medical attention? How is colon cancer diagnosed, and what are the typical screening methods used? AdventHealth's Dr. Mark Soliman stopped by FOX 35 to talk about colon cancer, detection, and treatment options.
What is meningitis?
Meningitis is a highly contagious bacteria or viral infection that can spread through the exchange of respiratory and throat secretion, like spit, living in close quarters or by kissing.
The health benefits of using salt substitutes
Dr. Mike Cirigliano joins Good Day Orlando to discuss the health benefits of using salt substitutes in your diet. It could reduce your risk of developing high blood pressure by 40%.
House Calls: How heart attacks differ in men and women
In this FOX 35 "House Calls," AdventHealth Orlando stops by to talk heart health, including the difference in heart attack signs and symptoms for men and women. Plus, what to do and where to do should you think you're having a heart attack. *This segment is sponsored by AdventHealth Orlando.
E. coli outbreak linked to raw cheese: Here’s what you need to know
The CDC issued a safety alert following several illnesses of E. coli, including four hospitalizations from the Raw Farm product.
Alzheimer's disease found to be transmitted through medical procedures decades ago, study finds
Researchers emphasized that dementia is "not contagious" and these were "extraordinary occurrences."
House Calls: Weight-loss options
Have you thought about weight-loss surgery? Have questions about it? AdventHealth's Dr. Dennis Smith, a bariatric surgeon, discusses what weight-loss surgery is, who qualifies, and other weight-loss options.
Health or Hype: Is intermittent fasting worth it?
Fad diets come and go, but intermittent fasting may last. It involves taking a break from eating for a large portion of your day.



















